Comparative Biosciences@2X

Comprehensive Immunohistochemistry Services & Tissue Cross-Reactivity (TCR) Studies

Accelerate Your Biomarker Research with CBI Immunohistochemistry Services

At CBI, we provide comprehensive immunohistochemistry (IHC) services designed to accelerate your drug discovery and biomarker research. Our team combines scientific expertise, cutting-edge technology, and regulatory insight to deliver precise biomarker localization, quantification, and spatial analysis, helping you make informed decisions faster.

 

Whether you are developing therapeutic antibodies, peptides, or proteins, our experts guide you from biomarker selection and antibody validation to complex study design and regulatory strategy. We even offer a free one-hour consultation to tailor your IHC or Tissue Cross-Reactivity (TCR) studies to your specific research goals.

Why Leading Biopharma Teams Choose CBI

 Our experienced team delivers scientific excellence while reducing your development timeline and risk.

 

  • End-to-End Support: From study design to regulatory-ready reporting.
  • Expert Team: Board-certified pathologists and experienced scientists provide unmatched insight.
  • Flexible Solutions: Customizable workflows to meet your study objectives.
  • Fast, Reliable Results: Optimized protocols and advanced analysis accelerate discovery.
  • Regulatory Confidence: GLP-compliant studies and documentation aligned with FDA/EMA requirements.
content-block@2x
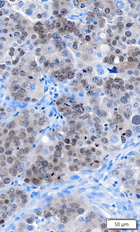
Human Ovarian Cancer_Anti-MGMT Antibody_narrow

Full-Service IHC Workflow - From Wet Tissue to Digital Insights

CBI delivers end-to-end IHC solutions under both GLP and non-GLP conditions for human and all preclinical animal species. Our workflow ensures reproducible, high-quality data from tissue handling to quantitative analysis:

 

  • Tissue Handling and Processing:  Expertise across all species, including rodent, rabbit, canine, NHP, and human tissues, supporting both fresh/frozen and FFPE samples .
  • Fixation and Embedding: Optimized protocols to preserve morphology and antigenicity.
  • Antibody Validation & Optimization: Rigorous titration, retrieval, and detection method development to maximize specificity and sensitivity.
  • Chromogenic & Fluorescent Staining: Single-marker (IHC-Ch) for detailed morphology or multiplex fluorescent (IHC-F) for spatial and immune profiling.
  • Tissue Bank Access: Well-characterized human tissue panels (healthy and diseased) for rapid feasibility studies and biomarker verification.
  • Digital Slide Imaging: High-resolution scanning for remote review and quantitative analysis.
  • Quantitative Analysis: AI-assisted or expert-guided assessment of staining intensity, cell counts, and spatial distribution.
  • Expert Evaluation: GLP-compliant interpretation and reporting by board-certified veterinary and human pathologists.

This holistic approach ensures that every IHC study delivers actionable insights that advance your research efficiently and with confidence.

Tissue Cross-Reactivity (TCR) Studies for Regulatory Submission

CBI specializes in GLP-compliant TCR studies to support FDA and EMA submissions for therapeutic antibodies, peptides, and proteins. Our services include:

 

  • IHC-based evaluation on comprehensive human tissue panels per regulatory guidance.
  • Detailed pathologist assessment with full regulatory reporting and annotated digital slides.
  • High-resolution digital archiving for sponsor review and submission-ready documentation.

By integrating scientific rigor with regulatory expertise, CBI ensures that your TCR studies are compliant, reproducible, and actionable, reducing regulatory risk and accelerating your development timeline.

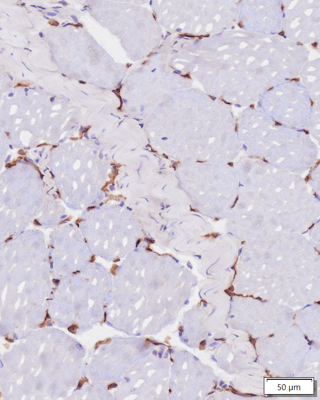
Mouse Frozen Skeletal Muscle_CD31_narrow-1
Consult_TEMP_FILE

Contact CBI today to Schedule your free one-hour consultation.

Contact us today to schedule your free one-hour consultation to discuss your IHC or TCR study. Our team will help you design a study that meets your scientific, operational, and regulatory needs. Discover how CBI can help you unlock the full potential of tissue-based biomarker studies by accelerating your biomarker research and reducing time to actionable insights.

 

Our Standards of Excellence

Ready to Accelerate Your Discovery Program?
Partner with CBI and unlock the full potential of tissue-based biomarker studies.

Contact us today to learn how our expertise can support your research and accelerate your drug discovery program.